聚焦互联网热点关键词,即时更新最新资讯,在关键词网一站式看天下。
厄立特里亚现在安全吗:旅行安全与现状分.
放心选的保险靠谱吗:第三方保险测评平台.
放心花靠谱吗:全面解析放心花的真实性与.
相互保靠谱吗:深度解析与用户指南 相互.
浙江男人可靠吗:地域性格与婚恋观的探讨.
互相保靠谱吗:深度解析与用户指南 互相.
儒医百康靠谱吗:用户真实评价与深度解析.
明润视光靠谱吗:实地探访与用户口碑深度.
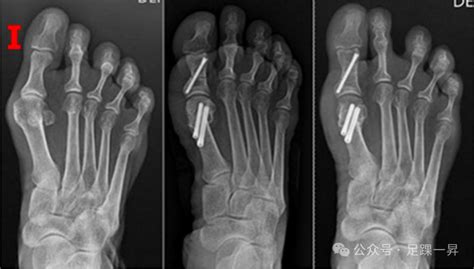
超微创拇外翻手术安全吗:深入解析其安全.
凯里市爱康靠谱吗:体检选择与机构考察指.
旅途贵宾靠谱吗:深度解析与用户经验分享.
财满满靠谱吗:用户评价与平台分析 财满.
从网上买的电信卡安全吗:网购电话卡的风.
众安百万医疗险靠谱吗:全面解析这款热门.
慢性阻塞性肺疾病安全吗:正确认识与管理.
百瑞信托靠谱吗:深度解析其安全性、产品.
广电正龙卡靠谱吗:深度解析其优势与注意.
邯郸银行可靠吗:深度解析其安全性与服务.
久冈制药靠谱吗:用户评价与产品分析 久.
吉尔吉特安全吗:旅行安全与地区现状分析.